TODAY IS Wednesday, February 18, 2026, 1:29 PM
The parasite and its vectors
Plasmodium falciparum is a protozoan parasite, one of the species of Plasmodium that cause malaria i
Plasmodium vivax is a protozoal parasite and a human pathogen. The most frequent and widely distribu
Plasmodium malariae is a parasitic protozoa that causes malaria in humans. It is one of several spec
Plasmodium ovale is a species of parasitic protozoa that causes tertian malaria in humans. It is one
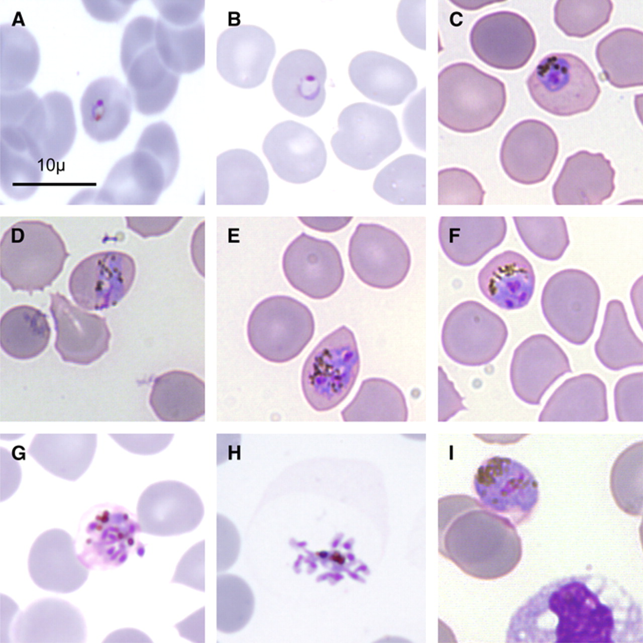
Plasmodium knowlesi was initially identified in the 30s as a natural Plasmodium of Macaca fascicular
Anopheles was introduced as a genus of mosquitoes in 1818 by Johann Wilhelm Meigen, a German entomol
The larvae are found in clear seepage water, in roadside pools, in rice fields, and in other similar
Anopheles albimanus it is one of the main vectors of malaria in Central America, northern South Amer
The Anopheles latens mosquito (part of the An. leucosphyrus group) is an important vector for the tr
Anopheles atroparvus belongs to the A. maculipennis species complex. Anopheles atroparvus is distrib
The Subpictus Complex is currently considered to include four sibling species, designated species A,
Anopheles farauti is a complex of seven species distributed in the Moluccas (Indonesia) and extend e
The Anopheles dirus complex includes non-vector and vector species of human malaria. Anopheles dirus
Anopheles darlingi is a major malaria vector in the Americas. Its broad geographical distribution, r
The duration of the gonotrophic cycle and survivorship of Anopheles vestitipennis Dyar & Knab wa
Larvae were taken in deep or sometimes partial shade in the following types of water: stream pool wi
Anopheles balabacensis inhabits forested areas. The immature stages are principally found in shaded
Anopheles quadrimaculatus Say is historically the most important vector of malaria in the eastern Un
Anopheles gambiae is a complex of at least seven morphologically indistinguishable species of mosqui
Anopheles maculatus complex includes important malaria vectors distributed from the Indian subcontin
Anopheles stephensi Liston is a major malaria vector with a geographical range from the Middle East



















